相关题目
106. 胎盘是母体与胎儿间进行物质交换的器官,是胚胎与母体组织的结合体。每个胎盘有
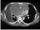
105.患者,女,34岁。咳嗽,咯血半月余,结合影像学检查,最可能的诊断是()
104.患儿,女,15个月。发热2天,流涎、拒食。体检:体温39℃,发热面容,检查时哭吵,颌下淋巴结肿大,右口角见数个疱疹,舌面及齿龈处有几簇小疱疹,部分已溃破成浅溃疡,咽充血明显,心、肺无特殊。该病最可能由于下列哪种病原体引起
103.一般说来,下列哪项体征不符合腰5~骶1椎间盘突出(后外侧型)
102.患者,女,55岁,洋地黄中毒送急诊抢救,心电监护提示心室率小于40次/min,应选的措施是
101.患儿,女,5岁。因左胫骨上端持续性疼痛5天,伴发热,临床初步诊断为急性骨髓炎,拟行局部穿刺进一步确诊。下列哪项做法不正确
100.初孕妇,30岁,患二尖瓣关闭不全,现妊娠28周,LOA,心功能Ⅱ级,来围产期门诊检查。咨询对于心脏负担最重的时期是
99.患儿,女,8岁。自幼反复呼吸道感染,活动后心慌、气喘、发绀。发育中,营养差,胸骨左缘第2肋间处有连续机器样杂音。血压14.7/6.7kpa,心电图示左室大。最可能诊断是
98.患者,女,28岁,妊娠3个月,经确诊妊娠合并急性胰腺炎。下列哪一项措施是错误的
97.患者,女,40岁,农民,自述近4个月来排便困难,伴有脓血便,每日5~6次,在当地按痢疾治疗无效,疑直肠癌介绍来院。要求作肠镜检查。甲医生说:作什么检查不能听你的,由我们决定,先服点药吧。第二天医生接诊,听患者叙述后立即作了肛门指诊,诊断为直肠癌收入院。甲医生误诊的原因是
