相关题目
233.患者,女性,40岁。3个月来饥饿时感上腹痛,进食后缓解,有时反酸。查体:剑突下偏右压痛,最可能的疾病是
232.男性, 20岁,因发热10天入院。查体:体温39.2℃,脉搏110次/分,肝肋下1.2Cm;血常规: WBC 23.9×109/L,中性粒细胞92.5%, 2周前曾患有甲沟炎。 最可能的诊断是
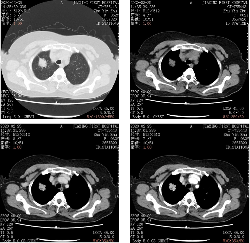
231.CT-755443:女,62岁。体检发现右肺上叶结节。
230.患者男性,56岁。阵发性胸闷1年,胸片、超声心动图及心电图检查均正常,行运动平板试验检查,运动中随运动量加大,患者诉心前区闷痛。运动前及运动中心电图见图4-4-1A和图4-4-1B。运动试验结果应为

229.患者男,24岁。踢球时左膝关节扭伤后内侧肿痛和活动受限。保守治疗1个月后症状减轻,但时有关节交锁现象,股四头肌内侧头明显萎缩、内侧关节间隙压痛,McMurray征(+)、抽屉试验(-)、侧方应力试验(-)。最可能的诊断是
228.男性,8岁。右手烧伤,有水疱、剧痛,在现场急救中,为减轻疼痛,最正确的方法是
227.女性,45岁。查体发现血压为160/90mmHg,平素无症状,确定其有无高血压的最佳方法是
226.女,30岁。发热3天,晕厥1次,心电图示为三度房室传导阻滞,心室率40次/分,下列各项治疗应首选
225.贫血病人,血红蛋白50 g/L,血细胞比容20%,白细胞4.8×109/L,网织红细胞2%,红细胞平均体积66fl,红细胞平均血红蛋白浓度24%,血小板120×109/L,最可能诊断是
224.女性,17岁,夏天因蚊帐着火烧伤总面积70%,1小时后送入当地县医院并准备转上海治疗。当地医院在做医疗处理时应首先考虑
