扫码进入小程序随时随地练习
161.葡萄胎患者经彻底刮宫后,连续监测血、尿中hCG,如持续升高,说明
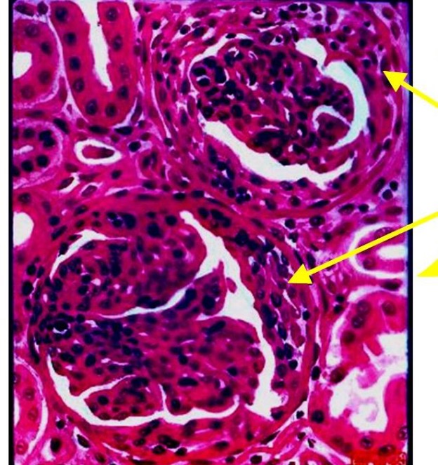
160.出现箭头所指图1、2改变的可能的肾炎是
159.肺硅沉着病的特征性病变是
158.股静脉内较大的血栓完全机化需要
157.下列疾病或病变中属于化脓性炎的是
156.下列哪种疾病最不可能发生结缔组织玻璃样变
155.Krukenberg瘤是指
154.膀胱上皮发生鳞状上皮化生后恶性变,这时所形成的恶性肿瘤称为
153.下列哪项不属于大叶性肺炎的特征
152.符合腺泡中央型肺气肿的病变特点是
为了提高加载速度和练习体验,每3000道题目分为一段,请选择您要练习的分段:
请选择您要练习的章节,系统将加载该章节下的所有题目:
请设置各类题型的数量和分值,系统将随机抽取题目生成试卷:
提示:非会员最多300题,会员最多1000题
以下是您的考试记录,点击可查看详情: