扫码进入小程序随时随地练习
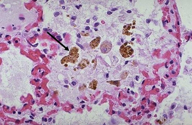
206.图为肺淤血镜下表现,箭头所指细胞为
205.原发性肺结核的肺内原发病灶常位于
204.创伤一期愈合和二期愈合的差异主要是
203.肿瘤对放射治疗和化学治疗的敏感性取决于
202.Ⅱ型膜性增生性肾小球肾炎的特征性表现,除外
201.下述支持胃的恶性溃疡的是
200.下列哪一项最能体现宫颈原位癌的特征
199.伤寒增生的细胞是
198.淤血不会引起
197.慢性支气管炎患者通气障碍是由于
为了提高加载速度和练习体验,每3000道题目分为一段,请选择您要练习的分段:
请选择您要练习的章节,系统将加载该章节下的所有题目:
请设置各类题型的数量和分值,系统将随机抽取题目生成试卷:
提示:非会员最多300题,会员最多1000题
以下是您的考试记录,点击可查看详情: