扫码进入小程序随时随地练习
270.高血压的血管壁玻璃样变主要发生于
269.萎缩的心肌细胞内最易出现的色素是
268.下列细胞中来源与巨噬细胞无关的是
267.葡萄簇型横纹肌肉瘤之主要形态特征是
266.下述哪种病变只是由纤维素及血小板组成
265.风湿性心肌炎会出现以下哪种特征性结构
264.判断良恶性肿瘤的主要组织学特征是
263.流行性乙型脑炎的病变性质属于
262.下列关于乳腺导管内乳头状瘤的描述错误的是
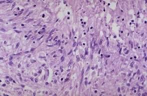
261.如图所示,结核结节主要由什么细胞构成
为了提高加载速度和练习体验,每3000道题目分为一段,请选择您要练习的分段:
请选择您要练习的章节,系统将加载该章节下的所有题目:
请设置各类题型的数量和分值,系统将随机抽取题目生成试卷:
提示:非会员最多300题,会员最多1000题
以下是您的考试记录,点击可查看详情: