扫码进入小程序随时随地练习
171.下列变化属于坏死的病理改变的是
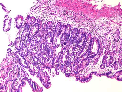
170.胃窦部黏膜组织活检,镜下如图所示,胃黏膜发生的有关病变的描述,错误的是
169.光镜下见病灶中央为纤维素样坏死,周围有增生的Aschoff细胞,该病灶应称为
168.恶性肿瘤细胞主要通过下列哪种途径入血
167.乳腺小叶原位癌的特点是
166.肉瘤的肉眼特点通常为
165.一般心肌缺血多长时间内,梗死的心肌细胞内糖原消失
164.慢性轻度肝炎细胞坏死的特点是
163.良性肿瘤的异型性主要表现在
162.二尖瓣狭窄首先引起
为了提高加载速度和练习体验,每3000道题目分为一段,请选择您要练习的分段:
请选择您要练习的章节,系统将加载该章节下的所有题目:
请设置各类题型的数量和分值,系统将随机抽取题目生成试卷:
提示:非会员最多300题,会员最多1000题
以下是您的考试记录,点击可查看详情: