扫码进入小程序随时随地练习
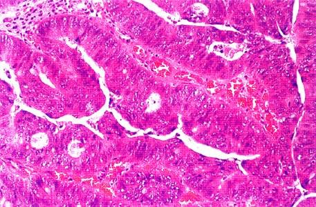
291.食管肿瘤在显微镜下如图可见肿瘤细胞排列呈腺样结构,这种肿瘤最可能是
290.心内膜下心肌梗死的并发症是
289.下述组织或器官的体积增大,仅由肥大引起的是
288.不符合小叶性肺炎的是
287.膜性肾小球肾炎的大体呈
286.下列哪项不属于微小病变性肾病的病变特点
285.肿瘤生长分数是指
284.关于中央型肺癌的特点,应除外
283.细动脉壁的玻璃样变最常见于下列哪种疾病
282.急性左心衰竭时常引起
为了提高加载速度和练习体验,每3000道题目分为一段,请选择您要练习的分段:
请选择您要练习的章节,系统将加载该章节下的所有题目:
请设置各类题型的数量和分值,系统将随机抽取题目生成试卷:
提示:非会员最多300题,会员最多1000题
以下是您的考试记录,点击可查看详情: