相关题目
单选题
91.患者因呼吸困难1周入院,查X线示右侧中等量胸腔积液,最不可能出现的体征是
单选题
90.患儿,男,10个月。因长期腹泻引起营养性缺铁性贫血,近1个月出现发热、咳嗽,近2天出现点头样呼吸。入院查体:面色灰暗,两肺满布细湿啰音,“三凹征”明显,心率160次/分,肝肋下4cm,脾肋下2cm。血常规:Hb 55g/L,RBC 2.5×109/L,应首先采用哪项措施
单选题
89.患者,男性,58岁。肝硬化失代偿期,短时间内出现腹痛及大量血性腹水,不伴发热,应考虑并发
单选题
88.患者,女,30岁,G2P1,孕40周,临产,查体发现患外阴巨大尖锐湿疣。最恰当的处理措施是
单选题
87.患者,男,19岁。患扁桃腺炎7天,感心悸。查体:心率90次/min,心电图示P-R间期为0.24秒,应诊断为
单选题
86.1名45岁男性进行常规体检,B超于肝右叶发现1个2cm×2.5cm实质性占位性病变,该男子无异常症状和体征,下一步检查首选
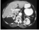
单选题
85.患者,女,23岁,体检发现右肾上极囊性病灶,CT增强如图所示,最可能的诊断为()
单选题
84.患者,女,22岁,午后低热伴盗汗1个月,胸片示右上肺不均匀密度病变,痰菌(﹣),PPD试验阳性,拟诊肺结核,下一步治疗原则
单选题
83.患儿,4岁。生长发育正常,胸骨左缘3~4肋间闻及2/6级柔和收缩期吹风样杂音,卧位较坐位响亮。最可能的诊断是
单选题
82.患者,男,55岁,右侧腰、腹部偶尔不适1年余,CT影像如图所示,其最可能的诊断为()
