相关题目
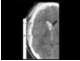
113. 患者,男,60岁。高血压患者,3小时前与人争吵时突发头痛,呕吐少量咖啡色液体,左侧肢体麻木无力。体检:血压180/105mmHg,略嗜睡,左侧鼻唇沟浅,伸舌左偏,左侧偏瘫、偏身痛温觉减退、偏盲和病理征阳性。首选的简便确诊方法为()
112. 患者,女,29岁。诊断癫痫4年,服用苯妥英钠治疗有效。现感冒发热1天,体温38℃,伴反复抽搐发作10小时,意识不清,大小便失禁。该患者抽搐的直接诱因最可能是
111. 患者,女,29岁。诊断癫痫4年,服用苯妥英钠治疗有效。现感冒发热1天,体温38℃,伴反复抽搐发作10小时,意识不清,大小便失禁。此时最重要的治疗原则
110. 患者,女,29岁。诊断癫痫4年,服用苯妥英钠治疗有效。现感冒发热1天,体温38℃,伴反复抽搐发作10小时,意识不清,大小便失禁。下列检查方法不能提供病因诊断的是
109. 患者,女,56岁。绝经4年,阴道水样白带量多半年,近半月间歇性少量出血,婚后未育。妇科检查:宫颈光滑,宫体稍大,附件稍有增厚。阴道细胞学涂片:巴氏Ⅱ级。B超子宫内膜厚度>0.5cm。诊刮得较多量内膜,质脆。该患者最可能的诊断是
108. 患者,女,56岁。绝经4年,阴道水样白带量多半年,近半月间歇性少量出血,婚后未育。妇科检查:宫颈光滑,宫体稍大,附件稍有增厚。阴道细胞学涂片:巴氏Ⅱ级。B超子宫内膜厚度>0.5cm。诊刮得较多量内膜,质脆。确诊该病的主要依据是
107. 患者,男,57岁,胸闷伴下肢水肿2个月,心电图V1~V4导联QS波。最有价值的器械检查是
106. 患者,男,57岁,胸闷伴下肢水肿2个月,心电图V1~V4导联QS波。缓解症状最迅速的药物是
105.患者,男,42岁,左侧腰部不适5年,右侧腰部剧痛不适3小时,影像学检查提示:左肾结石,直径约2.5cm,右输尿管下段结石,直径为0.9cm,首选治疗方案为
104.患者,男,70岁,体重70kg,近期检查血肌酐150μmol/L,估计该患者的eGFR处于CKD几期
