相关题目
83.患者,女,24岁,垂体瘤术后,半月前自行停服氢化可的松,后反复出现食欲缺乏、心悸、意识障碍,查血糖1.8mmol/L,补糖后好转,考虑低血糖原因为
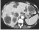
82.患者,男,54岁。1年前行结肠癌手术,癌胚抗原增高,影像检查如图,最可能的诊断是()

81.患者,女性,18岁,近半年来回避人际交往,一见到人就满头大汗,面红耳赤,低头不语,迅速转身走开。医生询问原因,患者答:说不清为什么,就是害羞、紧张。对该患者治疗的一线药物选择是
80.患者,男,25岁,“上感”后4天发现肉眼血尿,血尿6天后消失,无腰痛,无发热,无水肿,尿痛等症状,血压正常,应最佳考虑诊断为
79.患者,男,46岁。餐后上腹痛26小时来院,诊断为弥漫性腹膜炎,中毒性休克。家属听医生交代,认为诊断不十分清楚,预后不良,不同意急诊手术治疗,医生应
78.患者,女,60岁。突然出现剧烈头痛、呕吐和右侧肢体无力6小时。检查:神志清,血压24/16kPa(180/120mmHg),颈项强直,Kernig征(+),右侧中枢性偏瘫,右侧肌力3级,CT示左侧丘脑有一高密度影,直径约2cm,左侧侧脑室、第三脑室和第四脑室内有高密度影。可能为
77.某肺心病呼衰患者,经综合治疗后血气分析:pH7.36,PaO27.3kPa(56mmHg),PaCO28.7kPa(64mmHg),HCO3-48mmol/L,BE+18mmol/L,最可能存在的酸碱紊乱为
76.患者,男,52岁,上腹隐痛10年,与饮食有关,无明显诱因突发中上腹持续剧痛5小时。查体:急性痛苦面容,面色苍白,T37.8℃,P110次/min,BP14/9kPa(105/70mmHg),腹式呼吸消失,全腹压痛,反跳痛及肌紧张,以上腹部最显著,移动性浊音(±),肝浊音界稍缩小。为明确诊断,首先应采取的措施是
75.患者,男,28岁。颈部左侧无痛性淋巴结肿大1个月,抗结核治疗不见效。为确诊,首选检查是
74.患者,女,16岁,多饮、多尿半年。持续微量蛋白尿,尿糖(++),空腹血糖5.6mmol/L(101mg/dl),餐后2小时血糖7.28mmol/L(131mg/dl),葡萄糖耐量试验1小时血糖8.96mmol/L(161mg/dl),2小时血糖7.73mmol/L(139mg/dl),诊断首先考虑为
