相关题目
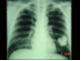
102.患者,男,45岁。体检发现左下肺占位,X线胸片检查如图
,最可能的诊断为
101.孕妇,25岁,妊娠40周,检查子宫底部可触及硬有浮球感的部分,子宫下段空虚,检查不满意,胎心在脐稍上右方听到。为确诊胎位,下列辅助检查何者最恰当
100.患者,男,40岁。因自杀割腕大出血发生休克,抢救处理后,能够反映补充血容量成功的较好的指标是
99.患者,男,48岁。左侧颈部淋巴结无痛性肿大2个月,抗结核治疗无效。为确诊最好先进行的检查是
98.风心病患者,女,37岁,发热近3周,有关节痛。查体:心率110次/min,心律绝对不整,脾可触及,球结膜下有瘀点。Hb90g/L,尿蛋白(++),最可能合并
97.患者,男,21岁,以面部水肿3天来诊。体检咽部充血,扁桃体Ⅱ°肿大。BP17/13.3kPa(127/100mmHg),Hb146g/L,尿常规:蛋白++++,RBC8~10个/HP。下一步应该
96.患儿,女,10岁。2天内反复多次全身抽搐。在发作间歇期仍意识不清,治疗该患者的首选药物应为
95.患者,男,28岁,服用中药3个月后出现皮肤瘙痒、黄疸。既往无肝炎病史。肝胆B超正常。肝酶明显升高,最可能的诊断是
94.患儿,4岁。发热、头痛、呕吐3周,抽风4次。意识不清,项强(+),凯尔尼格征(+),结核菌素试验(+++)。对本病确诊最有意义的检测为
93.患者,男,23岁,1月来疲乏无力,低烧,1周来头昏,气短,四肢酸痛,来血液科门诊。查体:T 38℃,苍白,全身皮肤散在针尖样出血点,浅表淋巴结肿大,肝脾大。对诊断最关键的检查是
