相关题目
单选题
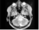
74.患者,男,50岁。发热,头痛,结合影像图像,最可能的诊断是 ( )
单选题
73.患者,男,34岁,左腰部剧痛1天,尿常规示红细胞(+++),B超提示左肾积水。肾积水的原因最可能是 ( )
单选题
72.患者,男,27岁,外伤后尺腕部疼痛,结合图像,最可能的诊断是 ( )
单选题
71.患者,女,32岁。劳累后翌日晨起发现尿色深,腰背痛且恶心伴呕吐3次来急诊。查体:巩膜黄染,Hb76g/L,RBC2.8×1012/L,网织红细胞10.1%,WBC3.4×109/L,血小板50.0×109/L,冷热溶血试验(-),蔗糖水试验(+),Ham试验(+)。该患者不宜选择的治疗是 ( )
单选题
70.内分泌疾病定位诊断检查不包括 ( )
单选题
69.关于脑脊液漏的处置错误的是 ( )
单选题
68.急性肾炎综合征是指临床上具有下列表现 ( )
单选题
67.诊断急性阑尾炎不可能有的阳性体征 ( )
单选题
66.大肠最常见的恶性肿瘤是 ( )
单选题
65.关于子宫性闭经,最正确的是 ( )
