相关题目
128.肺动脉高压
127.动脉导管未闭 ( )
126.主动脉缩窄 ( )
125. 一新生儿生后2天因高胆红素血症入院,入院时血清总胆红素水平为400µmol/L。患儿在治疗中发生了抽搐,首先考虑为 ( )
124. 一新生儿生后2天因高胆红素血症入院,入院时血清总胆红素水平为400µmol/L。以下措施不妥当的是 ( )
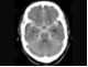
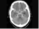
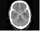
123. 患者,女,40岁,因突发头痛3小时入院。既往无高血压病史。CT检查如图所示,患者入院后除脱水、止血等治疗外,还应进行的重要检查是 ( )
122. 患者,女,40岁,因突发头痛3小时入院。既往无高血压病史。患者上述检查提示前交通动脉瘤,当前患者状态为重度头痛,烦躁、颈项强直,根据Hunt和Hess分级患者属于 ( )
121. 患者,女,40岁,因突发头痛3小时入院。既往无高血压病史。患者拟行手术治疗,下列围术期处理措施不正确的是 ( )
120. 患者,女,50岁,2周来不规则发冷、发热伴有明显乏力。以往除有轻度高血压外,再无有关心肺方面的症状,也未发现过明显杂音。2年来有反复泌尿系感染病史。查体:贫血外貌,心率100次/min,律齐,血压130/60mmHg,第二心音减弱,胸骨左缘第3肋间有一舒张期吹风样杂音,双侧结膜下有出血点。上题病例如确定诊断,一般抗菌治疗需多长时间 ( )
119. 患者,女,50岁,2周来不规则发冷、发热伴有明显乏力。以往除有轻度高血压外,再无有关心肺方面的症状,也未发现过明显杂音。2年来有反复泌尿系感染病史。查体:贫血外貌,心率100次/min,律齐,血压130/60mmHg,第二心音减弱,胸骨左缘第3肋间有一舒张期吹风样杂音,双侧结膜下有出血点。诊断应考虑 ( )
