相关题目
单选题
31.患者多食,大便每日2~3次。查体:血压140/60mmHg,双眼突出,心律不齐,脉搏短绌。应首先考虑的是()
单选题
30.患者男性,42岁。一周前体检时发现左上肺阴影。无咳嗽、咳痰及咯血,无低热及盗汗症状。否认结核及粉尘接触史。18F-FDGPET/CT示左上肺尖后段1.2cm×1.5cm结节及左颈部锁骨上肿大淋巴结代谢异常增高。组织病理学证实为左肺癌伴左颈部淋巴结转移。该患者N分期为()
单选题
29.患者,女,41岁,左下肢静脉曲张3年,现左下肢肿胀明显,行肺灌注显像可见多发性节段性显像剂缺损,通气显像及X光片为正常,提示病变可能为()
单选题
28.男,55岁,上腹隐痛1年余,进食后缓解,3小时前突发上腹剧痛,剑突下压痛、反跳痛,最可能的诊断是()
单选题
27.女,35岁,鼻塞,流涕,鼻中带血,时有绿色胶样分泌物,抗生素治疗无效,下列CT征象的描述中,对定性诊断有价值的是()
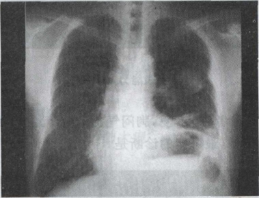
单选题
26.患者,男,67岁,胸痛半月余,胸片检查如图,最可能的诊断为()
单选题
25.急性心梗与陈旧性心梗在时间上分界为()
单选题
24.心肌造影的造影剂必须进入心肌内的冠状动脉的细小分支,所以造影剂微气泡直径必须小于()
单选题
23.不属于肝外胆管癌声像图分型的是()
单选题
22.在下列部位中,哪个不是继发孔房间隔缺损的病变部位()
