相关题目
35.患者颈部包块5年,结合超声声像图,最可能的诊断是()
34.患者,女,26岁,停经一个半月,有时恶心,呕吐。经腹盆腔超声检查发现:子宫纵断时腔内发现一个妊娠囊,横断时发现双孕囊。最可能是以下哪种伪像所致()
33.某患者自诉乳腺可触及一包块,光滑可移动,声图像如图,诊断为()
32.患者,男性,36岁,超声体检发现左肾病变,呈圆形,边界清晰,整齐光滑,直径1.0cm,肿物内为无回声,后方回声明显增强。根据声像图特征,诊断是()
31.患者,男性,30岁,胸部不适,肺通气显像正常,肺灌注显像可见右肺上叶后段、右肺中叶、右肺下叶前、后基底段、左肺上叶尖后段和前段、左肺下叶显像剂分布不均匀性稀疏改变,考虑可能为()
30.患者男性,12岁,左股骨下段剧痛伴高热一周,一周前有右中耳炎病史。查体:T39.3℃,左下肢呈半屈曲状,左股骨下段压痛,WBC15.4×109/L,N87.5%,左下肢X线检查无异常表现。临床疑左股骨下段急性骨髓炎,拟行99mTc-HMPAO-WBC显像。有关99mTc-HMPAO-WBC显像正确的是()
29.患者,男性,52岁,临床诊断左侧中央型肺癌,已行化疗2周期,左肺门区放疗3次。为尽早评估治疗效果以便尽快修正或制定更有效、合理的治疗方案,优先采用的检查方法是()
28.患者,67岁,男,高血脂多年,对其每日三餐应多进食的食物,下列说法正确的是()
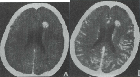
27.女性,40岁。CT发现额叶异常密度灶,无任何症状及体征。CT诊断(见图)最大可能是 ()
26.患者女性,50岁,因右下肺脓肿抗生素治疗1个月余,疗效欠佳,确定病原菌最好做下列哪项检查()
