相关题目
33.患者女性,有风湿性关节炎病史,心脏听诊主动脉瓣区有舒张期杂音,X线胸片示左心室扩大,心电图示左心室高电压,超声诊断为主动脉瓣关闭不全。彩色多普勒血流应显示为()
32.女,月经过少,不孕就诊,超声图像可提示
31.患者,女性,32岁,行肺部CT检查时无意中发现右乳深部一约1.5cm×2.0cm密实软组织影,无发热,否认乳腺增生病史。临床拟行包块穿刺细胞学检查,但患者拒绝,为进一步评估包块性质,拟行乳腺99mTc-MIBI亲肿瘤显像,检查时,患者体位及采集方法最佳的是()
30.患者,女性,37岁,体检时胸片发现左下肺外带一1.5cm×2.0cm结节,无咳嗽、咯血,无畏寒、发热及盗汗,否认结核病史,既往有糖尿病病史。临床拟行胸部18F-FDGPET/CT显像,检查前测定空腹血糖水平为13.5mmol/L,显像方法正确的是()
29.患者,男,59岁,胸闷、呼吸困难1周,既往慢性支气管炎、肺气肿病史。行肺通气显像示吸入相影像和平衡相影像表现为局部放射性明显减低,提示()
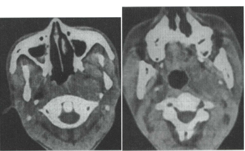
28.男性,50岁。涕中带血丝1个月余,无发热及咽部肿痛。CT检查见图所示,应首先怀疑以下何种疾病 ()
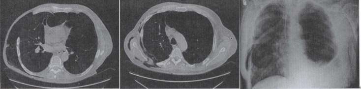
27.患者男,68岁,胸闷、气逼1年余,加重l周,右胸有手术史,结合CT图像,最可能的诊断是 ()

26.患者男,36岁,低热、咳嗽、咳痰,体重减轻,结合CT图像,最可能的诊断是 ()
25.肾实质球状高回声,直径约1.6cm,边界清楚。可能的疾病是()
24.超声诊断早期妊娠孕龄主要测量()
