相关题目
单选题
35.一位成年男性排便异常一年,现因腹痛来诊,超声见右侧腹部分肠管肠壁不规则增厚,肠腔明显狭窄,横断面呈不典型的同心圆改变,纵切面见多层肠壁近似平行排列,近段肠管扩张,肠内容物见逆蠕动出现,最可能的诊断是()
单选题
34.女,47岁,上腹部疼痛十多年,加重2个月余,皮肤巩膜黄染,进行性加重,皮肤瘙痒,声像图如图所示肝内胆管扩张,结合超声声像图,诊断为()
单选题
33.年轻男性患者,超声发现腹主动脉旁多发低回声结节,部分呈融合状,其最可能的诊断是()
单选题
32.女,32岁,偶感右上腹不适多年。声像图如图所示,最可能的诊断为()
单选题
31.患者,男性,52岁,临床诊断左侧中央型肺癌,已行化疗2周期,左肺门区放疗3次。为尽早评估治疗效果以便尽快修正或制定更有效、合理的治疗方案,优先采用的检查方法是()
单选题
30.患者,女,41岁,左下肢静脉曲张3年,现左下肢肿胀明显,行肺灌注显像可见多发性节段性显像剂缺损,通气显像及X光片为正常,提示病变可能为()
单选题
29.患者,男性,45岁。溃疡性结肠炎反复发作3年余。拟行肠道99mTc-WBC炎症显像,不属于其临床应用范围的是()
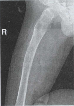
单选题
28.男,33岁。右髋痛半年,如图,最可能的诊断为()
单选题
27.CT显示跨越颅中后窝哑铃状肿块,岩骨尖部骨质破坏,增强扫描明显强化,第四脑室可见移位。最可能诊断为()
单选题
26.患者男,64岁,患糖尿病,最近3天出现发热,伴颈静脉显露,结合CT图像,最可能的诊断是 ()
